Product & ReviewsAntibodies
Anti-Integrin beta 3 ITGB3 Rabbit Monoclonal Antibody
Product Details
- Cat. No.
- M00587-1
- Type
- Primary Antibody
- Clonality
- Monoclonal
- Host
- Rabbit

The supplier does not provide quotations for this antibody through SelectScience. You can search for similar antibodies in our Antibody Directory.
Description
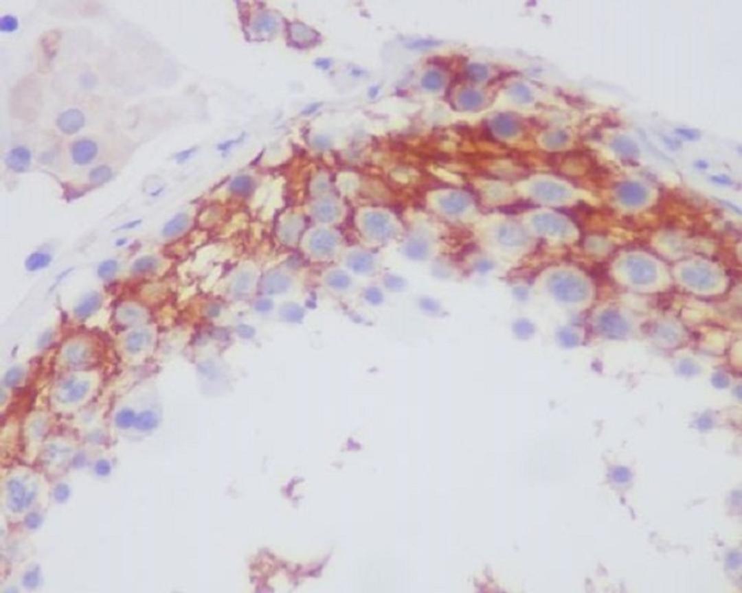
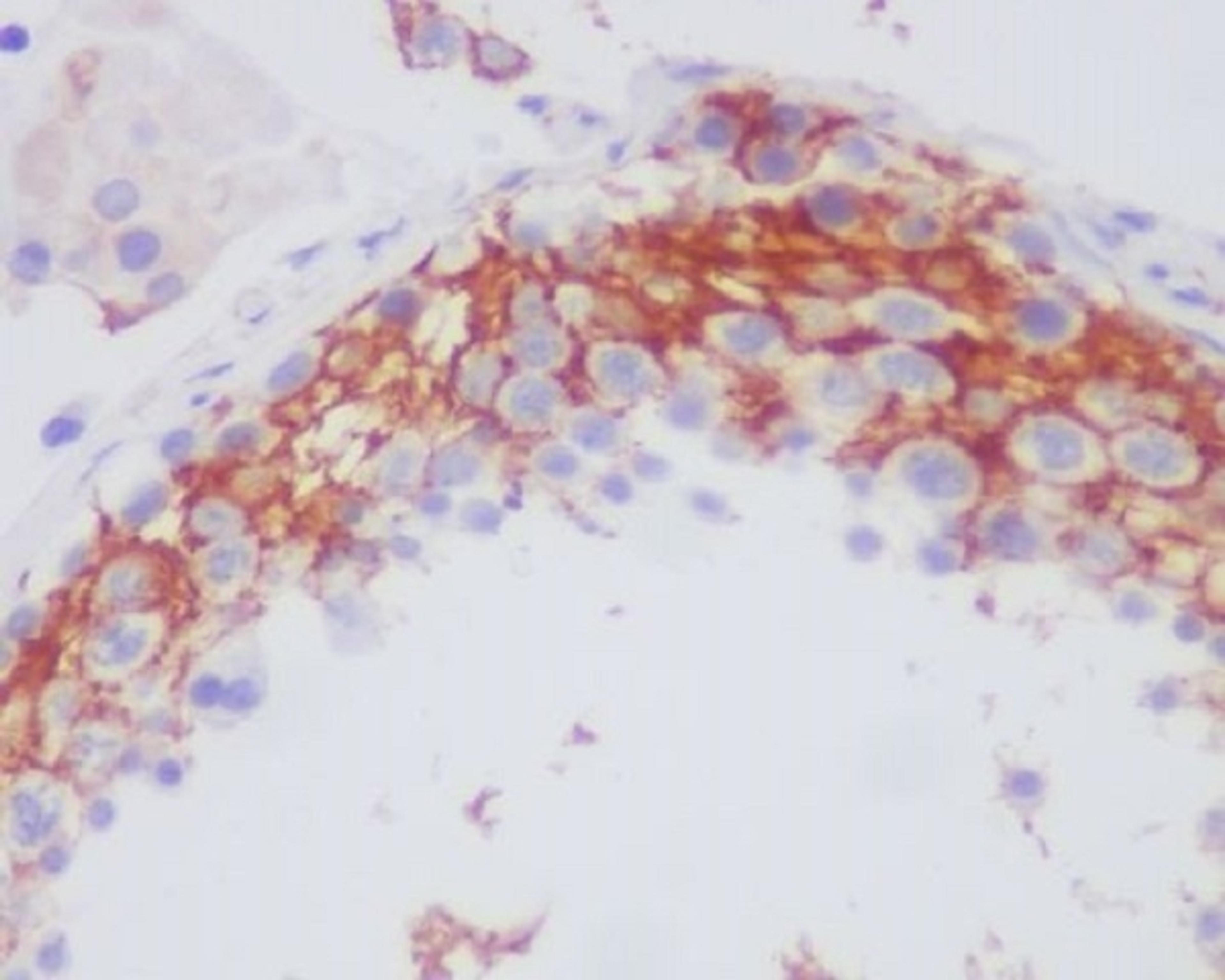
Boster Bio Anti-Integrin beta 3 ITGB3 Rabbit Monoclonal Antibody catalog # M00587-1. Tested in IF, IHC, ICC, WB applications. This antibody reacts with Human, Mouse, Rat.
Biological Information
- Clonality: Monoclonal
- Host: Rabbit
Handling
- Storage: Store at -20°C for one year. For short term storage and frequent use, store at 4°C for up to one month. Avoid repeated freeze-thaw cycles.


