Product & ReviewsAntibodies
Anti-Human RBM45 Antibody
Product Details
- Cat. No.
- DZ11111-1
- Type
- Primary Antibody
- Clonality
- Polyclonal
- Host
- Rabbit

The supplier does not provide quotations for this antibody through SelectScience. You can search for similar antibodies in our Antibody Directory.
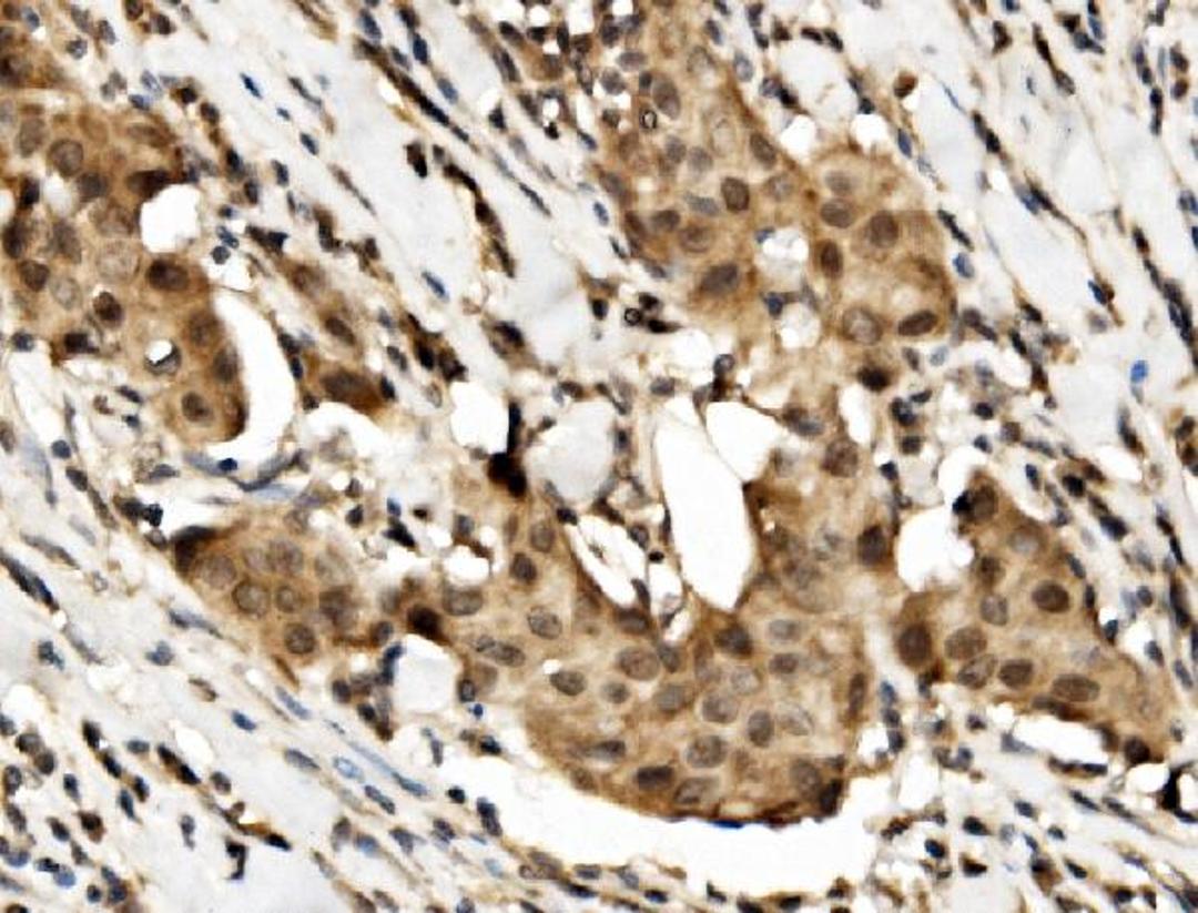
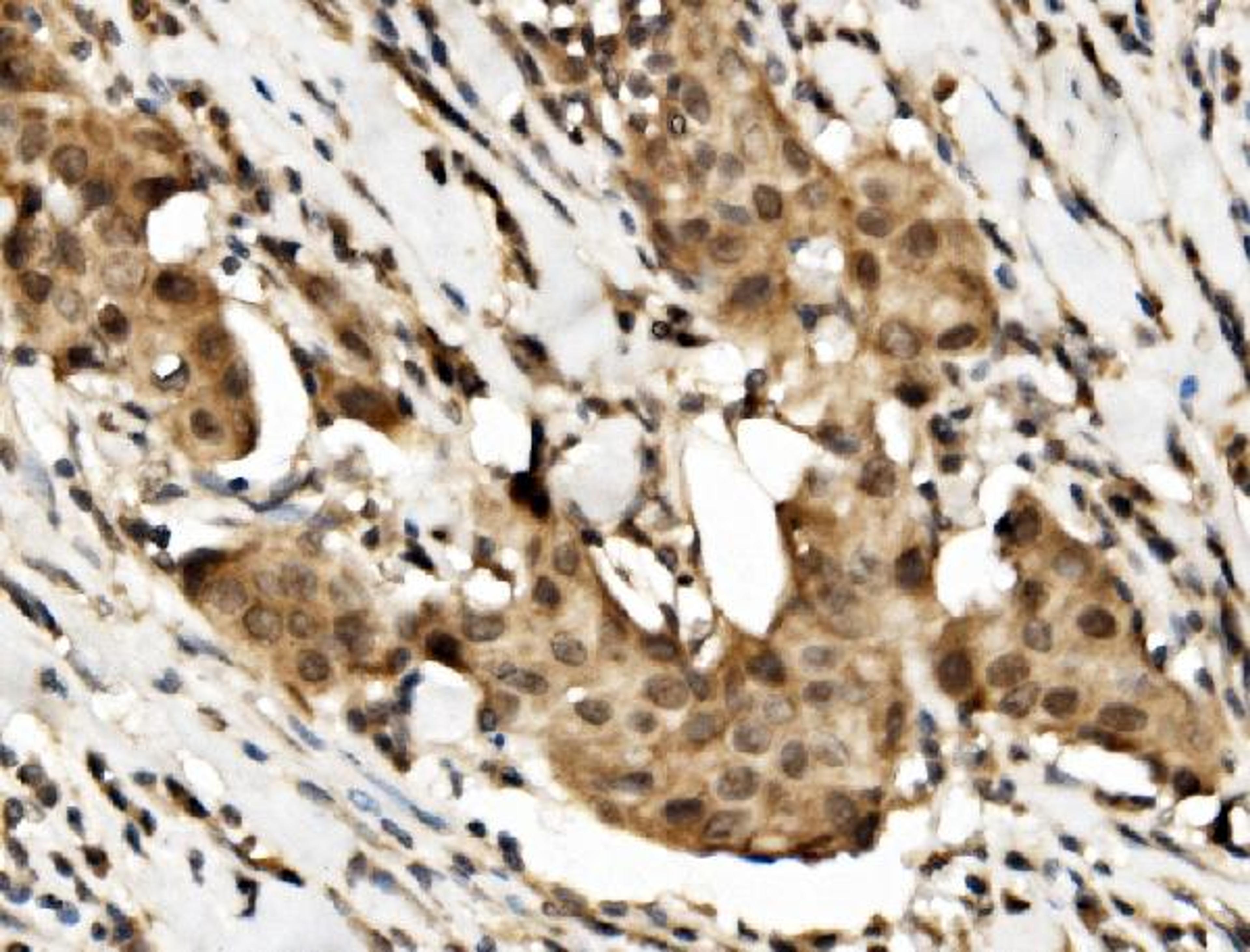
Description
Boster Bio Polyclonal Anti-RBM45 Antibody catalog # DZ11111-1. Tested in IHC-P application. This antibody reacts with human and mouse.
Biological Information
- Clonality: Polyclonal
- Host: Rabbit
Handling
- Storage: At -20°C for one year, at 4°C for one month. Avoid repeated freezing and thawing.


