Product & ReviewsAntibodies
Anti-Hsp70 HSPA1A Antibody Picoband™ (monoclonal, 3H5)
Product Details
- Cat. No.
- M00949-2
- Type
- Primary Antibody
- Clonality
- Monoclonal
- Host
- Mouse

The supplier does not provide quotations for this antibody through SelectScience. You can search for similar antibodies in our Antibody Directory.
Description
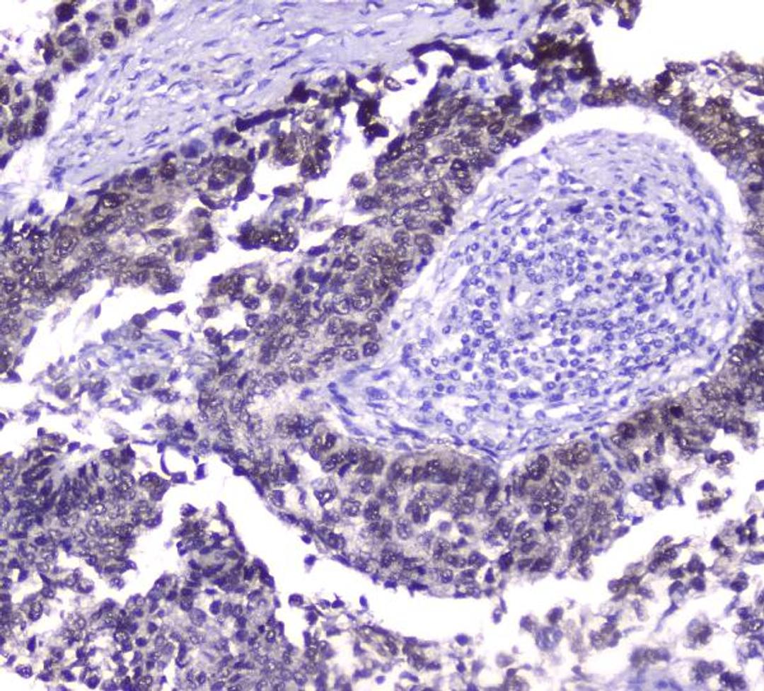
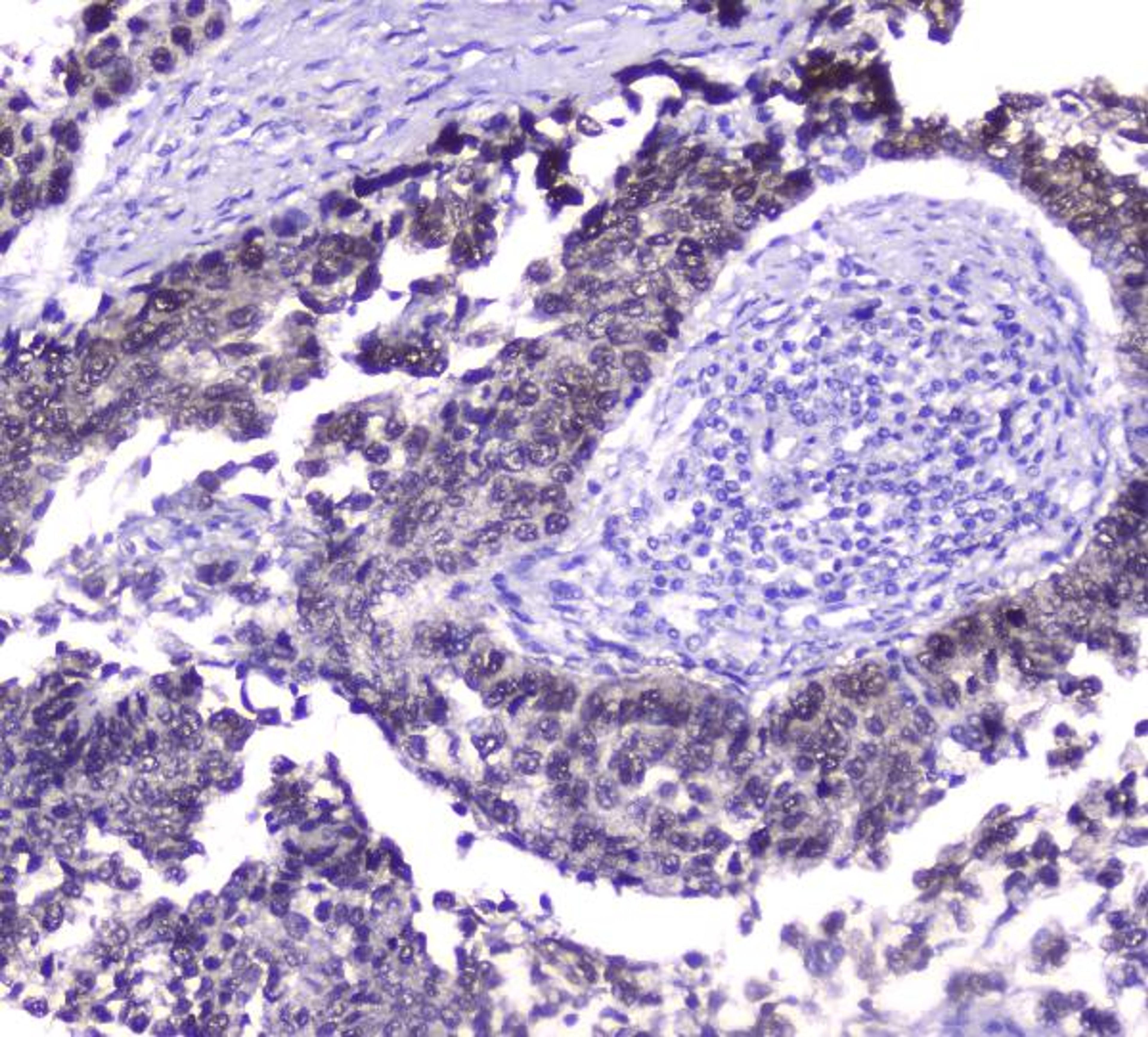
Boster Bio Anti-Hsp70 HSPA1A Antibody Picoband™ (monoclonal, 3H5) catalog # M00949-2. Tested in Flow Cytometry, IF, IHC, ICC, WB applications. This antibody reacts with Human.
Biological Information
- Clonality: Monoclonal
- Host: Mouse
Handling
- Storage: Store at -20˚C for one year from date of receipt. After reconstitution, at 4˚C for one month. It can also be aliquotted and stored frozen at -20˚C for six months. Avoid repeated freeze-thaw cycles.


