Product & ReviewsAntibodies
Anti-CD20/MS4A1 Antibody Picoband™ (monoclonal, 4I11)
Product Details
- Cat. No.
- M03780-4
- Type
- Primary Antibody
- Clonality
- Monoclonal
- Host
- Mouse

The supplier does not provide quotations for this antibody through SelectScience. You can search for similar antibodies in our Antibody Directory.
Description
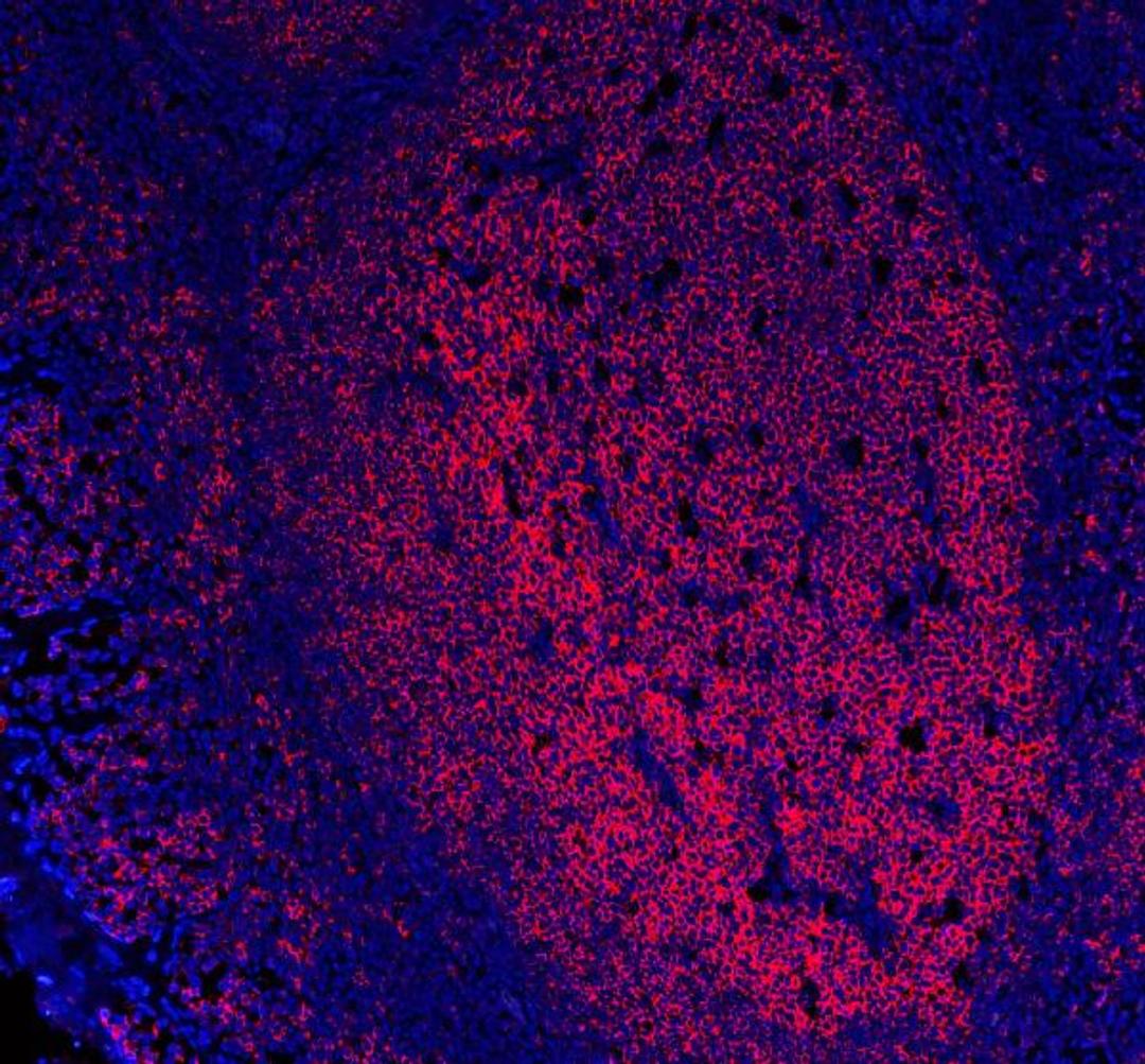
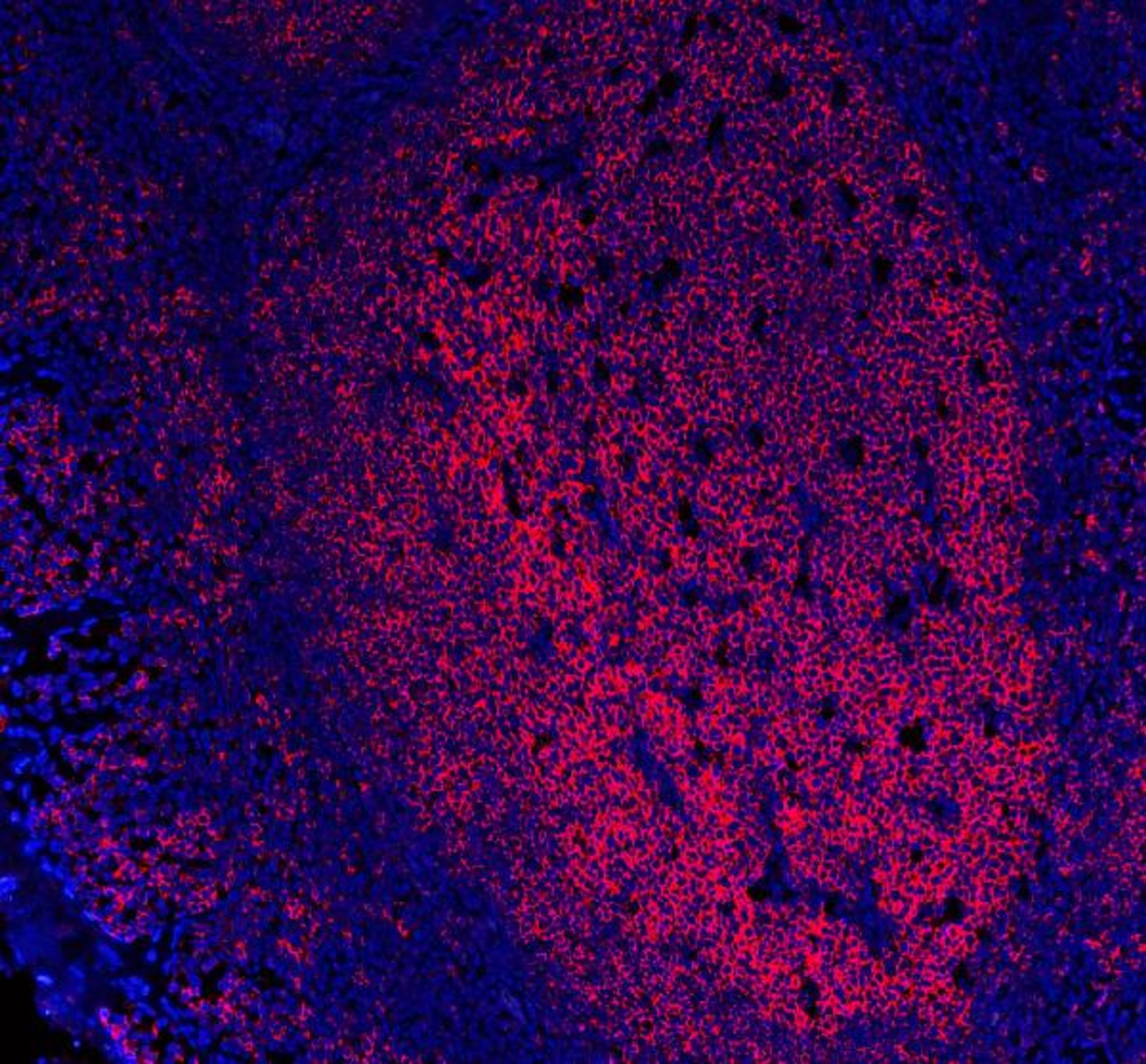
Boster Bio Anti-CD20/MS4A1 Antibody Picoband™ (monoclonal, 4I11) catalog # M03780-4. Tested in IF, WB applications. This antibody reacts with Human.
Biological Information
- Clonality: Monoclonal
- Host: Mouse
Handling
- Storage: At -20°C for one year from date of receipt. After reconstitution, at 4°C for one month. It can also be aliquotted and stored frozen at -20°C for six months. Avoid repeated freezing and thawing.


