Product & ReviewsAntibodies
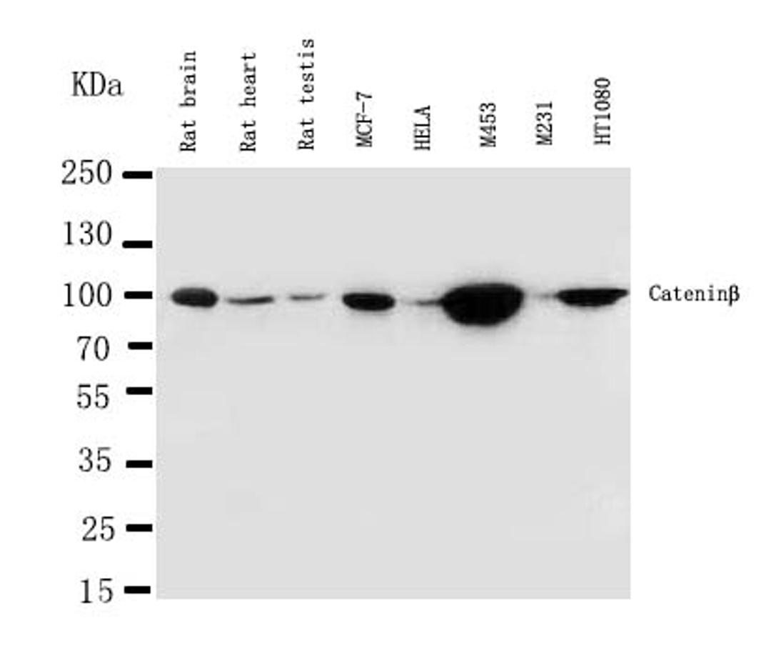
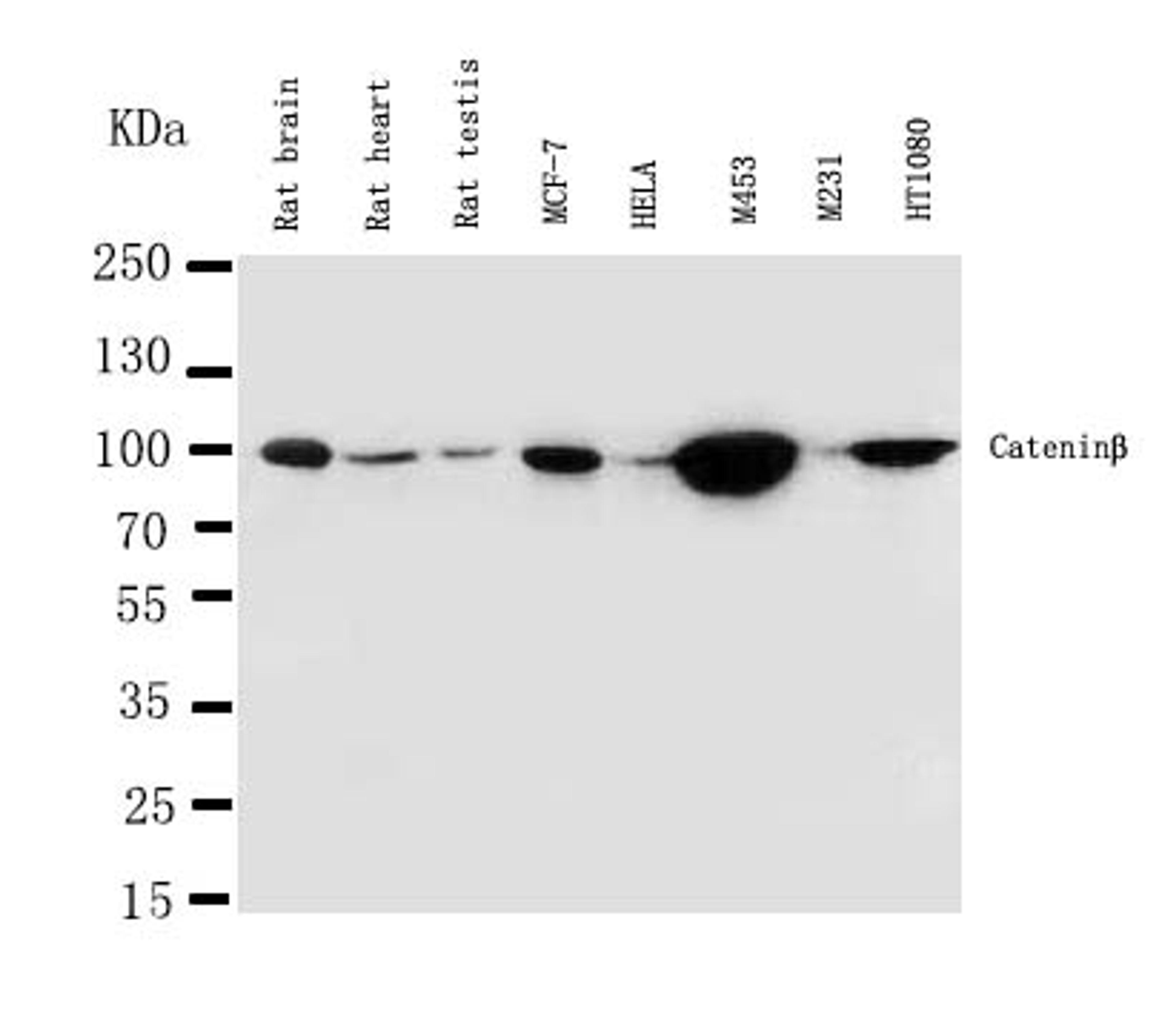
Anti-beta Catenin/CTNNB1 Antibody
Product Details
- Cat. No.
- PA1212-1
- Type
- Primary Antibody
- Clonality
- Polyclonal
- Host
- Rabbit

The supplier does not provide quotations for this antibody through SelectScience. You can search for similar antibodies in our Antibody Directory.


