Product & ReviewsAntibodies
Anti-Apolipoprotein E APOE Monoclonal Antibody
Product Details
- Cat. No.
 - M00015
 - Type
 - Primary Antibody
 - Clonality
 - Monoclonal
 - Host
 - Rabbit
 

The supplier does not provide quotations for this antibody through SelectScience. You can search for similar antibodies in our Antibody Directory.
Description
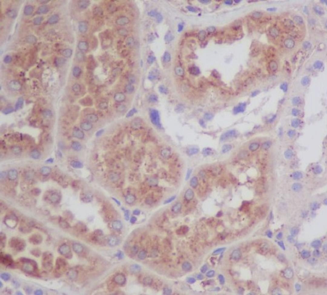
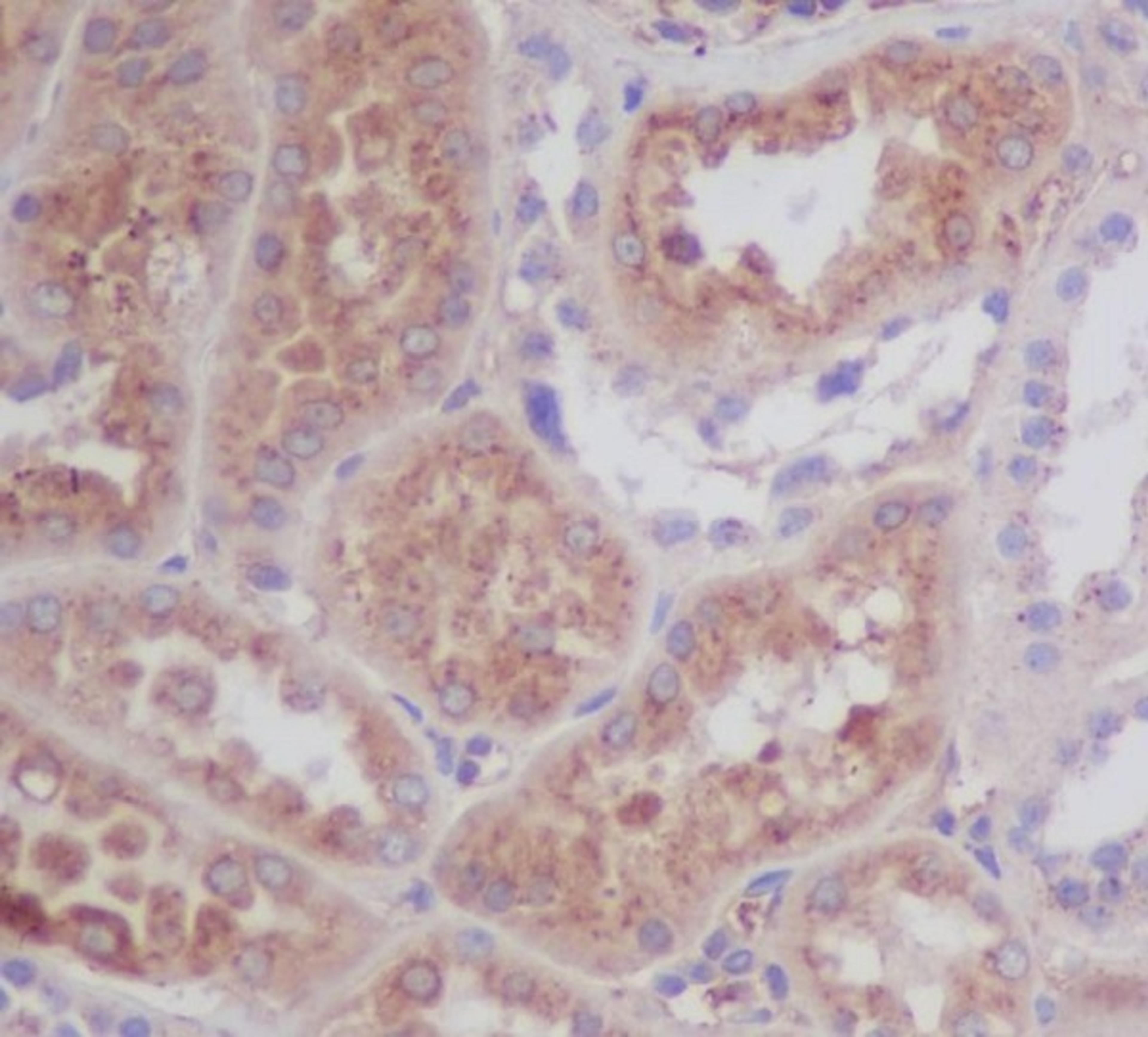
Boster Bio Anti-Apolipoprotein E APOE Monoclonal Antibody catalog # M00015. Tested in IP, IF, IHC, ICC, WB applications. This antibody reacts with Human, Mouse.
Biological Information
- Clonality: Monoclonal
 - Host: Rabbit
 
Handling
- Storage: Store at -20°C for one year. For short term storage and frequent use, store at 4°C for up to one month. Avoid repeated freeze-thaw cycles.
 


