Product & ReviewsAntibodies
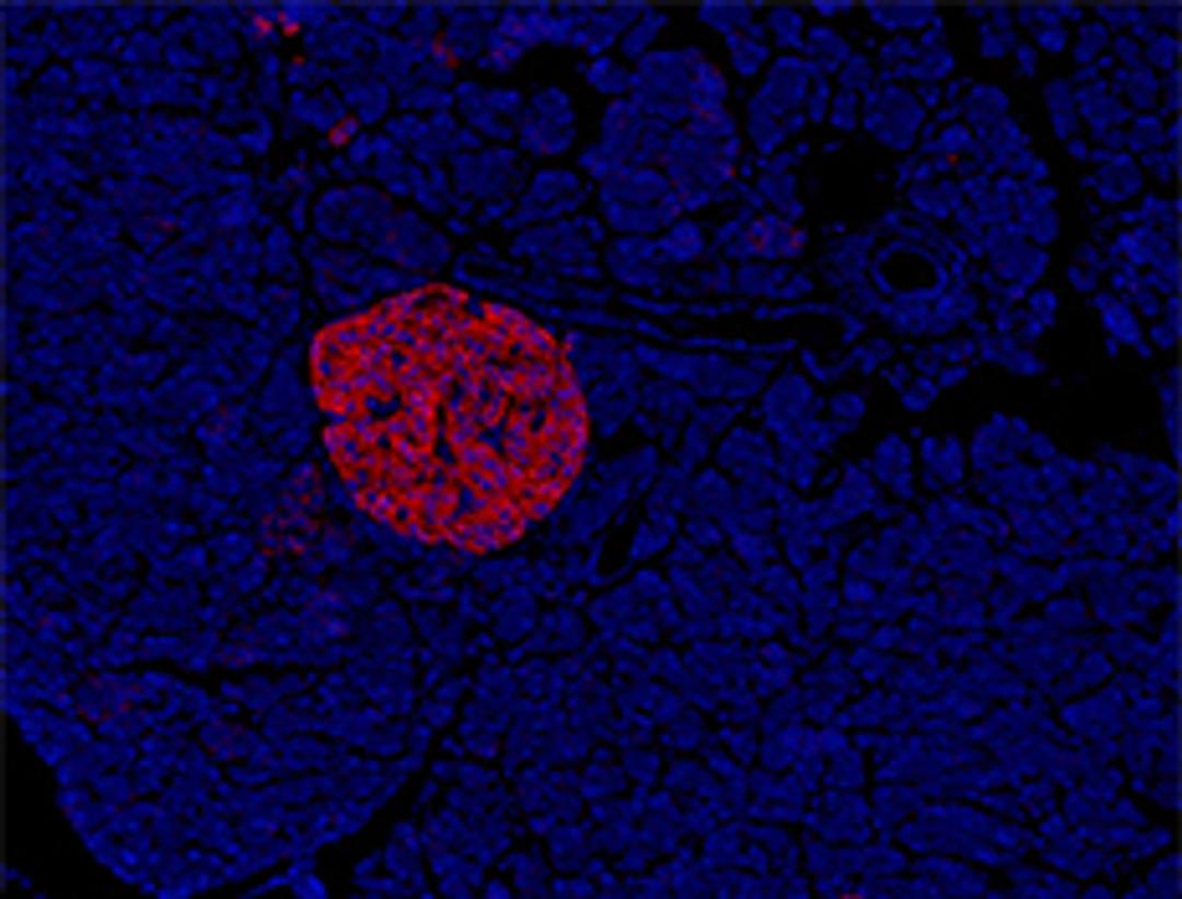
Alexa Fluor® 594 anti-human CD99
Product Details
- Cat. No.
- 318014
- Type
- Flow Cytometry Reagents
- Clonality
- Monoclonal
- Host
- Mouse

The supplier does not provide quotations for this antibody through SelectScience. You can search for similar antibodies in our Antibody Directory.
Description
Alexa Fluor® 594 anti-human CD99; Clone: HCD99; Reactivity: Human; Apps: IHC-P, IHC-F; Size: 100 μg
Biological Information
- Clonality: Monoclonal
- Host: Mouse
- Reactivity: Human
- Clone: HCD99
- Conjugate: A594
- Isotype: Mouse IgG2a, κ
- Gene: 4267
Handling
- Quantity: 100 microg
- Storage: 2°C-8°C
Applications
- Immunohistochemistry (Formalin-Fixed Sections) (IHC (F))
- Immunohistochemistry (Paraffin-Embedded Sections) (IHC (P))


