Product & ReviewsAntibodies
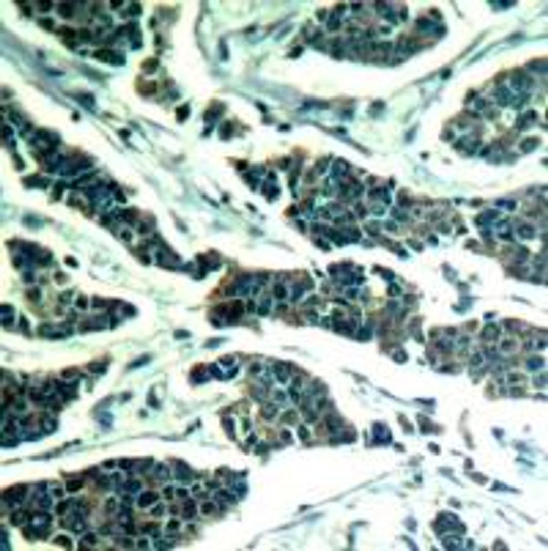
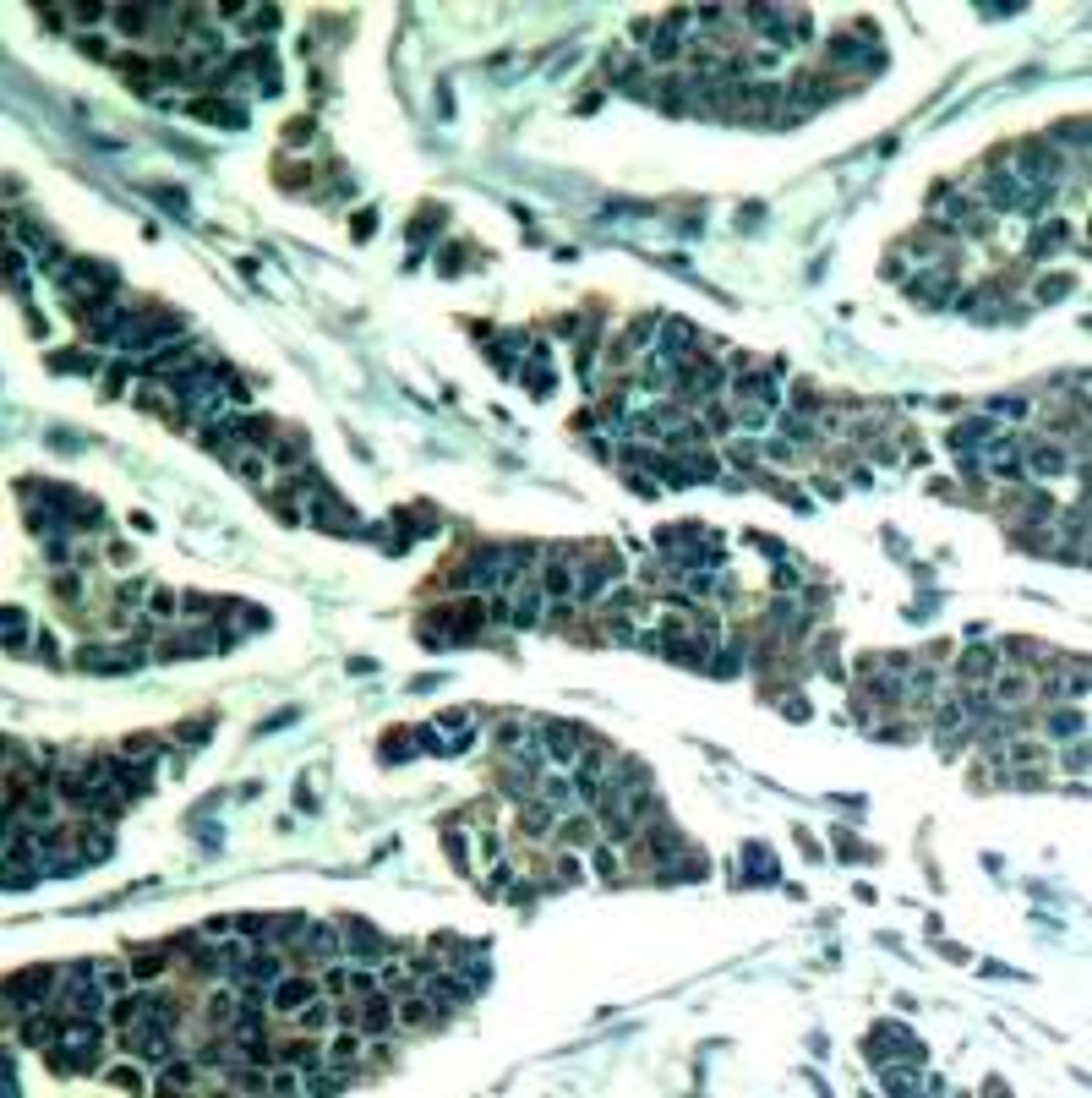
AKT1 / AKT2 / AKT3 (Ab 315 / 316 / 312) Antibody
Product Details
- Cat. No.
- 79-417
- Type
- Primary Antibody
- Clonality
- Polyclonal
- Host
- Rat

The supplier does not provide quotations for this antibody through SelectScience. You can search for similar antibodies in our Antibody Directory.
Description
AKT1 / AKT2 / AKT3 (Ab 315 / 316 / 312) Antibody raised in Rabbit validated in IHC in Human, Mouse, Rat.
Biological Information
- Clonality: Polyclonal
- Host: Rat
- Conjugate: Unconjugated
Handling
- Quantity: 0.1 mg
- Storage: Store antibody at -20˚C for up to one year.
- Buffer: Antibody supplied in phosphate buffered saline (without Mg2+ and Ca2+), pH 7.4, 150mM NaCl, 0.02% sodium azide and 50% glycerol.


