Product & ReviewsAntibodies
ADAMTS1 Antibody
Product Details
- Cat. No.
- 48-132
- Type
- Primary Antibody
- Clonality
- Polyclonal
- Host
- Rat

The supplier does not provide quotations for this antibody through SelectScience. You can search for similar antibodies in our Antibody Directory.
Description
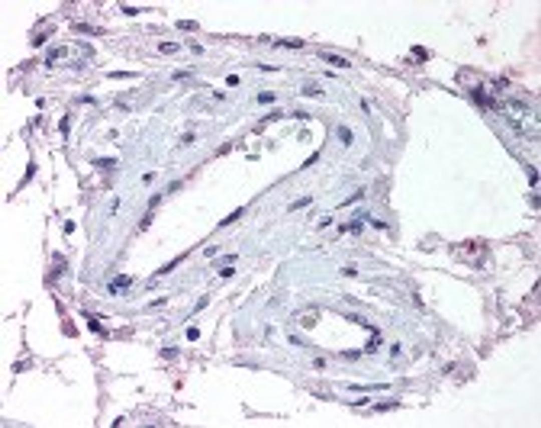
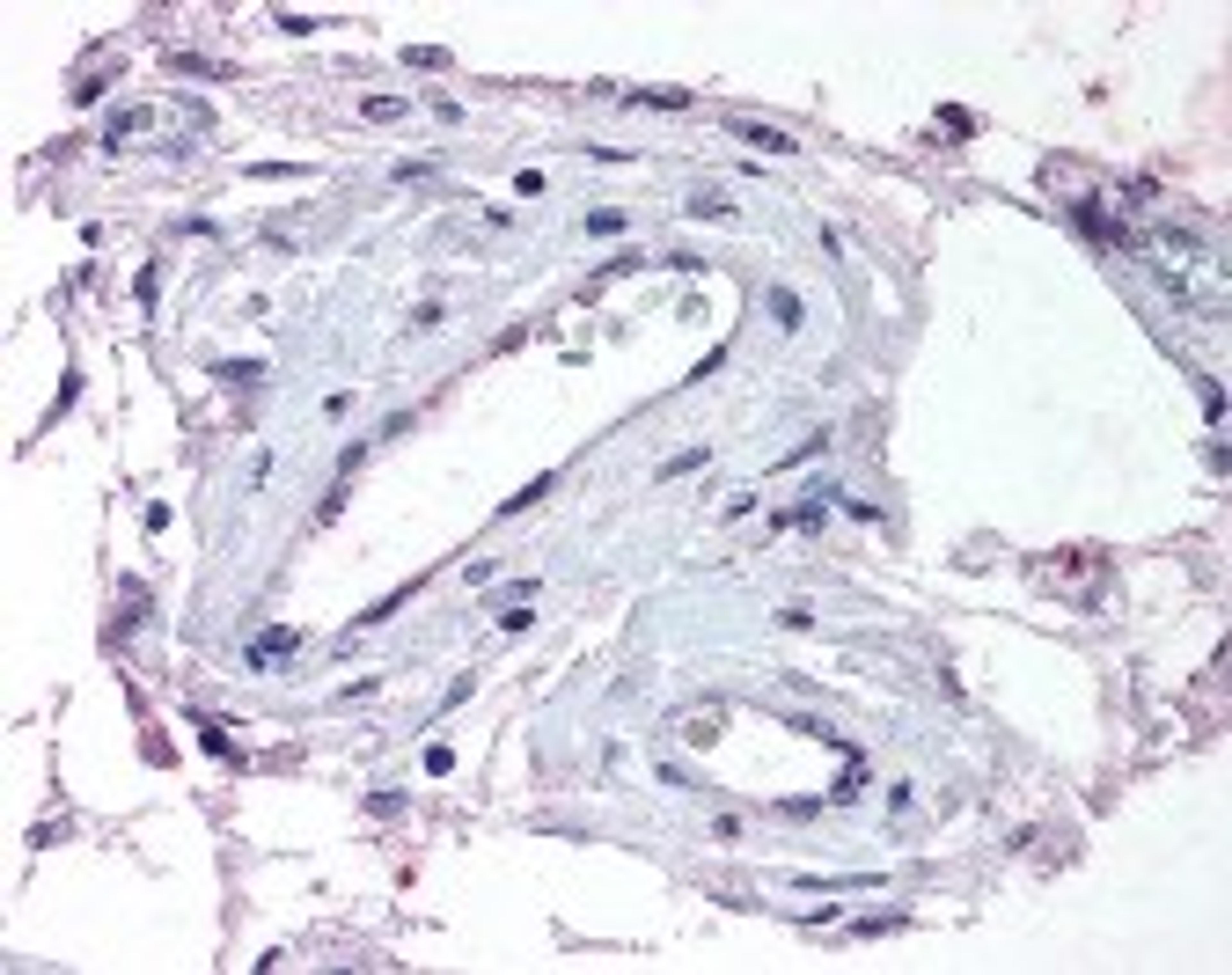
ADAMTS1 Antibody raised in Rabbit validated in IHC in Gorilla, Human.
Biological Information
- Clonality: Polyclonal
- Host: Rat
- Conjugate: Unconjugated
Handling
- Quantity: 0.05 mg
- Storage: Store ADAMTS1 antibody at 4 ˚C for short term applications. For long term storage, aliquot and -20 ˚C.
- Buffer: PBS, 0.1% sodium azide.


