Product & ReviewsAntibodies
ACTH Antibody [57]
Product Details
- Cat. No.
- 48-093
- Type
- Primary Antibody
- Clonality
- Monoclonal
- Host
- Mouse

The supplier does not provide quotations for this antibody through SelectScience. You can search for similar antibodies in our Antibody Directory.
Description
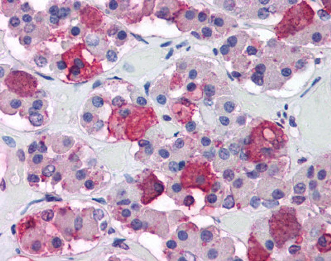
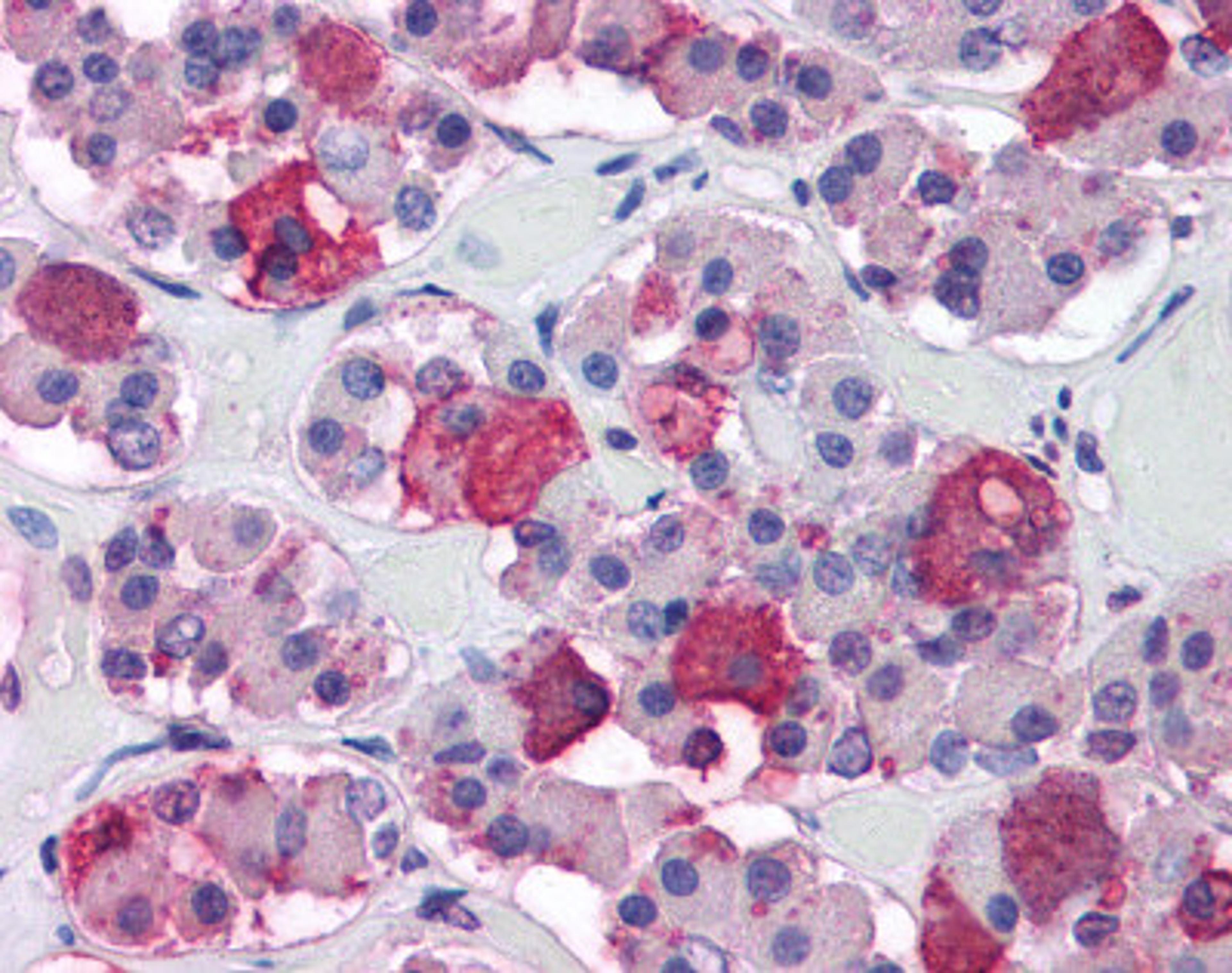
ACTH Antibody [57] raised in Mouse validated in E, IHC in Human, Rat.
Biological Information
- Clonality: Monoclonal
- Host: Mouse
- Conjugate: Unconjugated
Handling
- Quantity: 0.05 mg
- Storage: Short term: 4˚C. Long term: Store at -20˚C. Avoid freeze-thaw cycles.
- Buffer: PBS, pH 7.6, 0.09% sodium azide.


