Product & ReviewsAntibodies
6X HIS EPITOPE TAG antibody
Product Details
- Cat. No.
- orb345394
- Type
- Primary Antibody
- Clonality
- Polyclonal
- Host
- Rabbit

The supplier does not provide quotations for this antibody through SelectScience. You can search for similar antibodies in our Antibody Directory.
Description
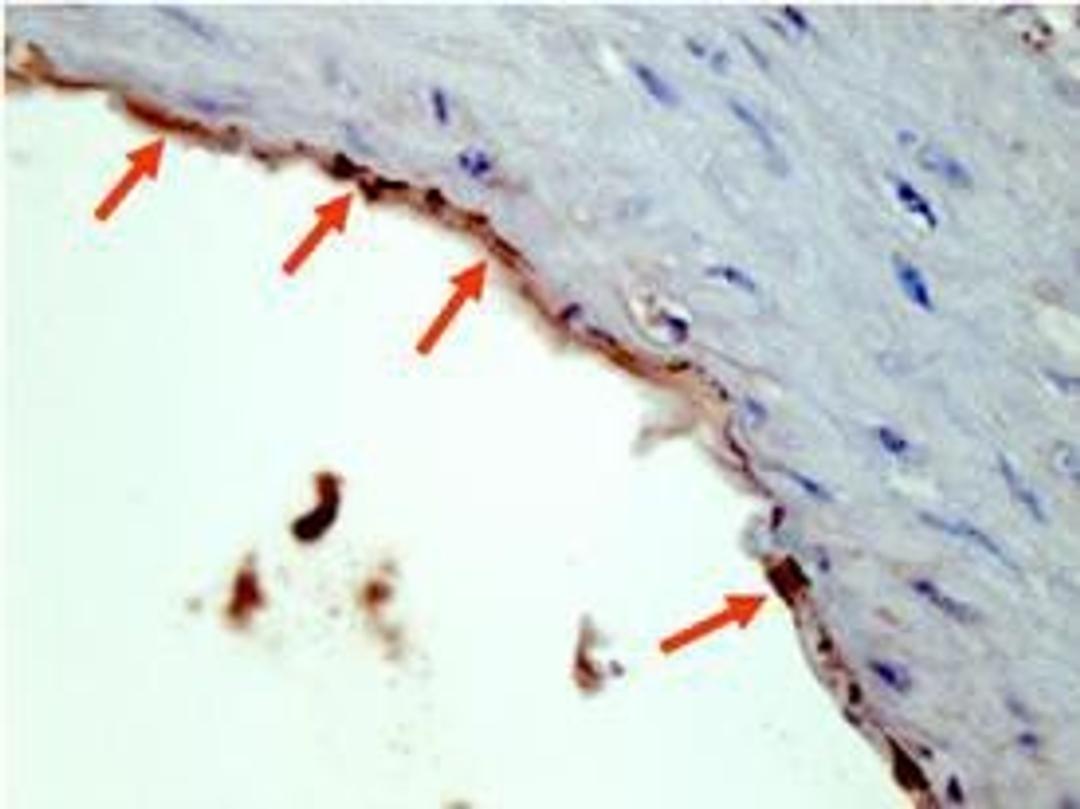
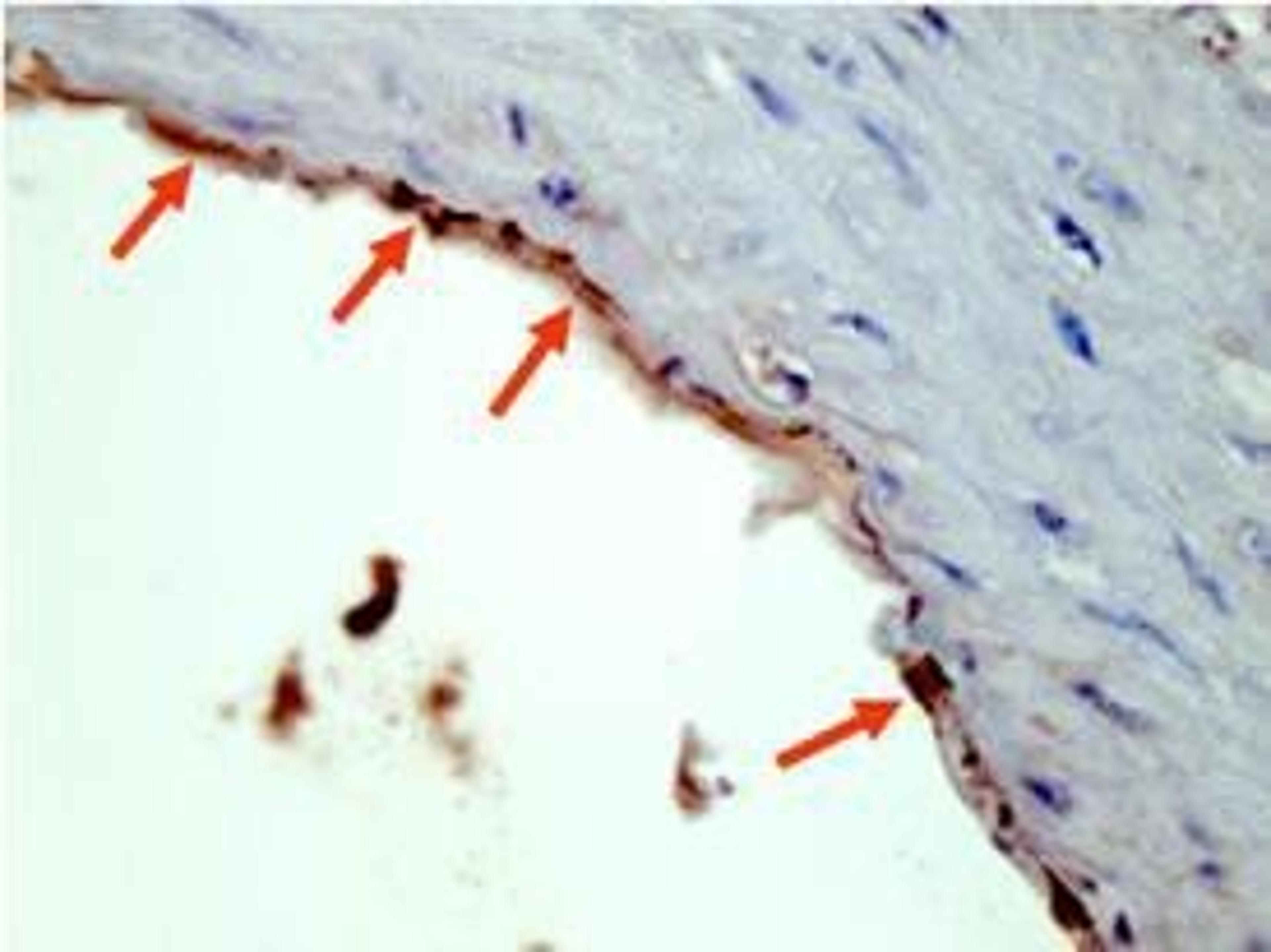
Rabbit polyclonal antibody to 6X HIS EPITOPE TAG
Biological Information
- Clonality: Polyclonal
- Host: Rabbit
- Isotype: IgG
- Gene: 23624
Handling
- Quantity: 100 µg
- Storage: Store at 4°C for up to two weeks. For long term storage, aliquot and store at -20°C, avoid freeze/thaw cycles.
- Buffer: 0.02 M Potassium Phosphate, 0.15 M Sodium Chloride, pH 7.2
Applications
- ELISA (ELISA)
- Immunohistochemistry (Paraffin-Embedded Sections) (IHC (P))
- Western Blotting (WB)


