High-dose radiotherapy safe and promising for lung cancer
A study by Karl Landsteiner University of Health Sciences shows that higher radiation doses in lung cancer treatment carry no added risk of inflammation and may improve survival
13 May 2025Industry news

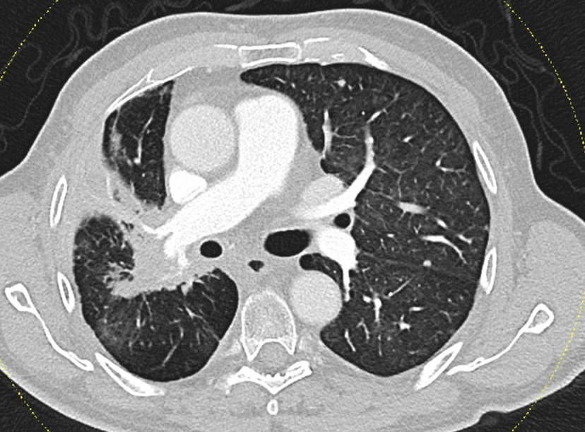
Higher-than-usual doses of radiation in the treatment of inoperable lung cancer can be safely combined with immunotherapy without increasing the risk of severe lung inflammation (pneumonitis). This is the key finding of a recent study conducted by Karl Landsteiner University of Health Sciences (KL Krems). Patients who received 70 Gy of radiation – a dose above the conventional protocol – prior to treatment with the immune checkpoint inhibitor Durvalumab did not develop pneumonitis more frequently than those given a lower dose. At the same time, preliminary data suggest a significant survival benefit. The findings, based on a retrospective evaluation of nearly 40 patients, suggest that more intensive radiotherapy may offer improved outcomes without compromising safety in selected cases.
Lung cancer remains one of the most common and deadliest forms of cancer worldwide. For patients with inoperable stage III non-small cell lung cancer (NSCLC), the established standard of care is concurrent chemoradiotherapy (CCRT) followed by immunotherapy with Durvalumab – particularly for tumours that express the PD-L1 protein, which enables cancer cells to evade the body’s immune defences. However, both radiotherapy and immunotherapy are known to carry a risk of inducing pneumonitis. As a result, total radiation doses have traditionally been limited to 60 Gy (Gray, the unit of absorbed radiation dose). Researchers at KL Krems set out to investigate whether higher doses – which could potentially lead to better tumour control – could be administered without increasing the risk of serious side effects.
More dose, no additional burden
“As part of a retrospective clinical study, we investigated whether increasing the radiation dose to 70 Gy would lead to a higher incidence of pneumonitis – and it did not,” explains Dr Felix Schragel, specialist in pulmonology at University Hospital Krems, a teaching and research centre of KL Krems. “In fact, there was a clear trend toward improved overall survival.” Of the study participants, 29 received the higher dose, while 10 were treated with an individually reduced dose. Both groups had comparable baseline characteristics, allowing for a reliable and meaningful comparison. The incidence of pneumonitis was similar in both groups and consistent with data from previous studies. In addition, most cases were mild to moderate in severity.
In total, 38.5% of participants developed pneumonitis. However, the rate was actually lower in the 70 Gy group, at 34.5%, compared to 50% in the group that received the lower dose. Only one case of more severe pneumonitis (grade 3) was reported, and it occurred in the lower-dose group. The survival data were particularly striking: in the high-dose group, more than 93% of patients were still alive one year after treatment – and that figure remained virtually unchanged at the four-year mark. By contrast, the median survival in the lower-dose group was 31 months, and tumour progression was more frequent in this group.
Precise planning ensures safety
Radiation-induced lung damage was avoided thanks to careful and precise treatment planning. In both groups, the mean lung dose (MLD) was kept below the critical threshold of 20 Gy. “As long as clinicians adhere to established safety limits – especially in regard to low-dose lung volumes – we don’t expect to see an increased rate of pneumonitis,” says Dr Schragel. “These results clearly show that administering a higher radiation dose to the tumour does not necessarily mean a higher risk of inflammatory side effects – provided the treatment is well planned.”
The study highlights the potential for more personalized treatment strategies in patients with unresectable NSCLC. “For selected patients with stable lung function, intensified radiotherapy could significantly improve overall survival,” adds Dr Schragel. “And I’m particularly pleased that KL Krems is taking a leading role in this area – producing research with direct relevance for clinical practice.” At the same time, the findings underline the importance of regularly re-evaluating established treatment thresholds in the light of evolving treatment approaches such as immunotherapy.
Want the latest science news straight to your inbox? Become a SelectScience member for free today>>