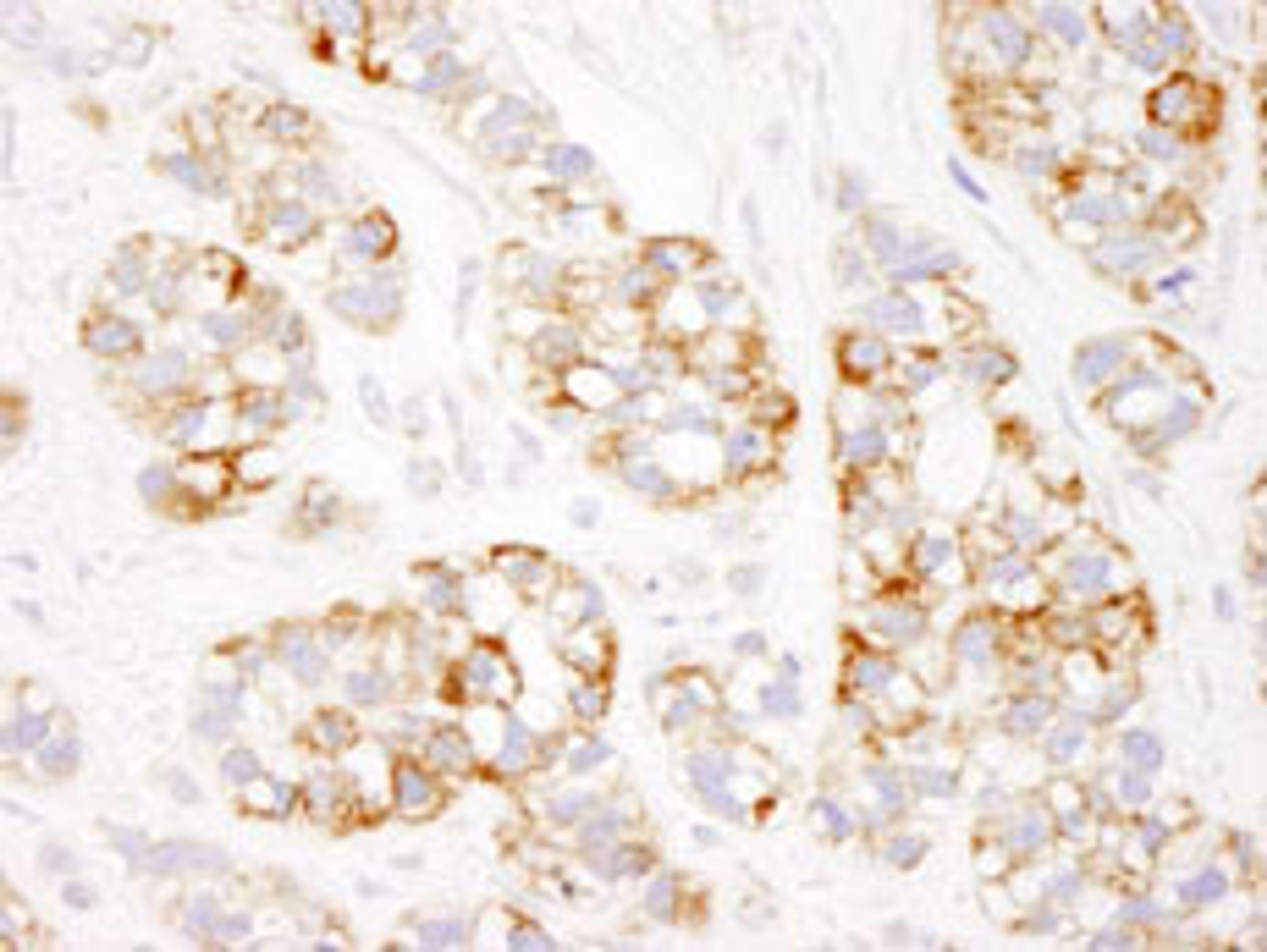
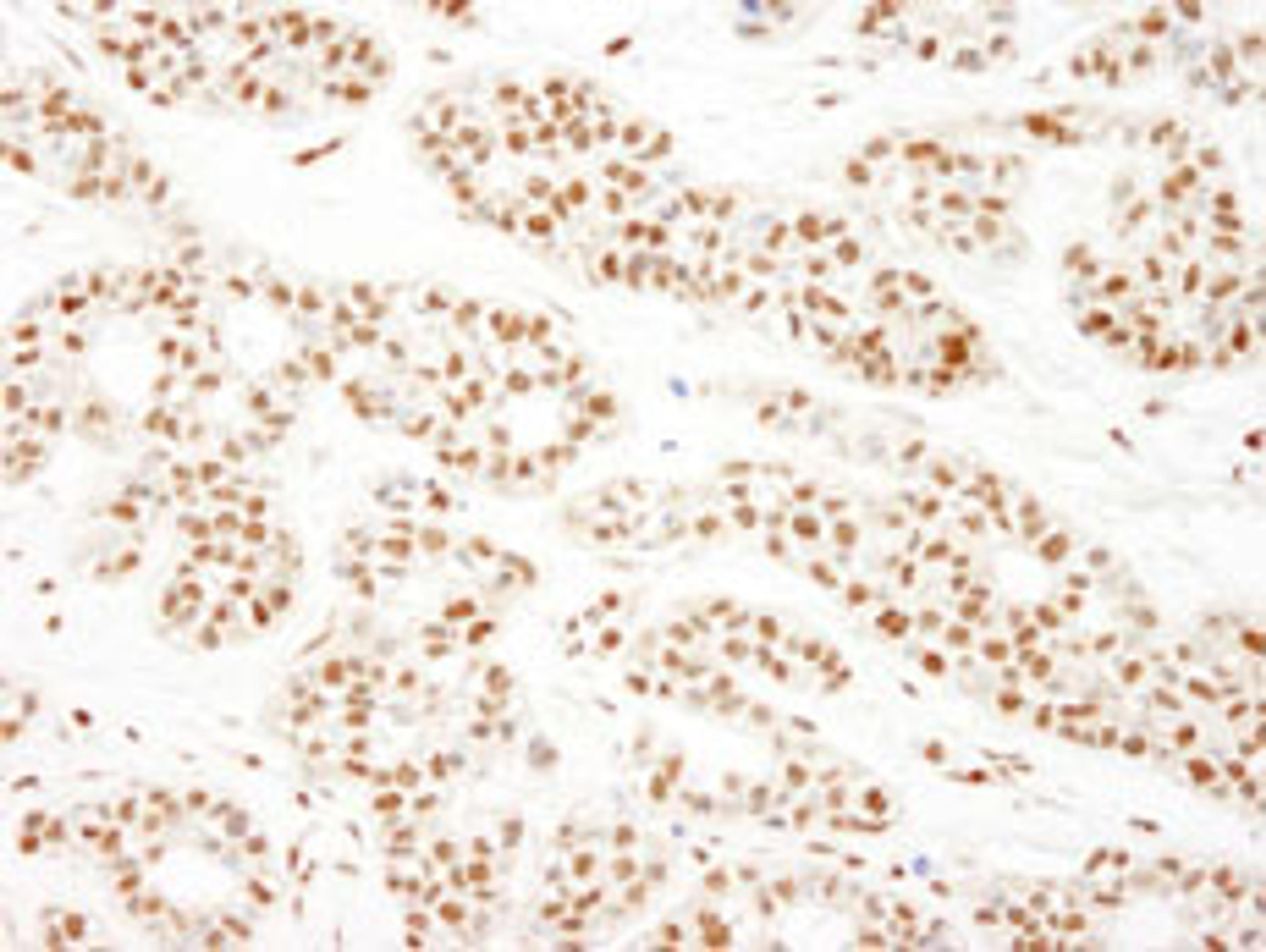
Rabbit anti-beta Catenin Antibody, Affinity Purified
- Manufacturer
- Bethyl Laboratories. Inc
- Catalog Number
- A302-012A-T
- Host
- Rabbit
- Reactivity
- Human, Mouse
- Applications
- Chromatin Immunoprecipitation, Immunohistochemistry, Immunoprecipitation, Western Blotting
























